치매 걸린 뇌과학자의 충언_忠言
“이 병에 매료됐다… 인지저하도 대처 가능”
김지수 작가 2025. 10. 4. 06:03
**************************************************************************
“예측불허 인생, 표류하는 시간 속에 선물 있어”
‘치매에 걸린 뇌과학자’ 대니얼 깁스 박사
알츠하이머병의 전조는 후각 상실, 잘 관찰해야
진단부터 사망까지 10년, 조기 발견이 관건
운동, 식단으로 발병률 50% 낮출 수 있어
*인지예비능 있으면, 치매 와도 안정된 생활 가능
**************************************************************************

===================================================================================================
경도인지장애_MCI, Mild Cognitive Impairment : 나이에 비해 기억력이나 판단력 같은 인지 기능이 다소 떨어졌지만,
일상생활은 대체로 혼자서 가능한 상태를 말함.
쉽게 정상노화와 치매의 중간 단계라고 이해하면 됨.
아밀로이드 : 우리 몸에서 만들어진 단백질이 비정상적으로 뭉쳐서 쌓인 물질.
알츠하이머병(치매)의 주요 원인 중 하나로 알려짐
타우 단백질 : 뇌 신경세포 안에서 신경의 구조를 지지하고 신호 전달을 돕는 단백을 말함.
뇌척수액_ CSF, CerebroSpinal Fluid : 뇌와 척수를 둘러싸고 흐르는 투명한 액체를 말함.
알츠하이머병 : 가장 흔한 형태의 치매로, 기억력 저하를 시작으로 인지 기능이 점차 악화되는 뇌 질환
SinEun
===================================================================================================
30년간 뇌를 연구하며 수많은 치매 환자를 상대한 사려 깊은 신경과 의사가 있다.
기억이 뭉텅뭉텅 유실된 채 겁에 질려 진료실을 찾아오는 알츠하이머병 환자들을,
그는 가엾게 여겼다.
90년대만 해도 의사가 할 수 있는 일이 아무것도 없었기에,
그는 이 병을 증오했다.
치료법은 고사하고 진단조차 자기공명영상과 컴퓨터 단층 촬영 스캔뿐.
훨씬 뒤에 *아밀로이드와 *타우 단백질의 수치를 측정할 수 있는 *뇌척수액 검사가 개발됐다.
그러던 어느 날 벼락처럼 그에게도 치매가 찾아왔다.
‘치매에 걸린 뇌과학자’는
은퇴한 신경과 의사이자 *알츠하이머병을 안고 살아가는
전 세계 5천만 명 중 한 사람인 대니얼 깁스 박사의 이야기다.
많은 사람들은 혀를 차며 그의 끔찍한 불운을 불쌍히 여기겠지만,
여기에 반전이 있다.
아이러니하게도 그는 자신의 병에 완전히 매료되었다.
그는 자신의 알츠하이머 유전자를 발견하기 위해서
사서 출신인 아내와 탐정처럼 가족 계보도를 추적해 대가족의 이야기를 완성하고,
아밀로이드와 타우로 위축된 자신의 뇌 사진을 보면서
‘나 홀로 시사회’를 즐기고,
신약을 위한 임상 실험 참가자가 되어 언어를 잃어버리는 부작용을 겪고 당당히 돌아온다.
나(작가 김지수)는 대니얼 깁스가
알츠하이머병이라는 통제 불능의 역경을 수용하는 방식에 깊은 호기심을 느꼈다.
그는 알츠하이머의 기본 정조인 상실과 고통의 서사를 반복할 생각이 없다고 했다.
재난과 유머, 의학과 향수가 뒤섞인 그의 관조적인 문장에 나는 깊이 매료되었다.
바람 없는 바다 위를 표류하다 범고래를 만나는 장면은 특히 압권이다.
운 좋게 병을 조기 발견한 덕에
10년 넘게 가벼운 인지 손상만 나타나는 상황을 겪고 있는 중인 그에게 서면 인터뷰를 요청했다.
질문지를 보내자마자 이틀 만에 답변이 도착했다.
경이적인 속도였다. ‘잊기 전에 써야 한다’는 그의 메모 덕분에,
인터스텔라 사상 가장 빠른 답을 선물로 받았다.
문득 작년에 인터뷰했던 일본 노년 내과의사 가마타 미노루 선생이 했던 말이 생각났다.
‘인생 8할은 잊어도 좋다’.
버림받은 기억, 증오와 원한, 미움과 집착은 빨리 잊을수록 좋다고.
‘좋은 사람이 되겠다’는 생각조차 잊고 그저 햇볕을 쬐고 몸을 움직여 걷고 나면
저절로 좋은 사람이 되어 있을 거라고 했던가.
그런 식의 뛰어난 망각력이 우리를 살게 한다고.
아이러니하지만,
대니얼 깁스의 충고도 다르지 않았다.
걸을수록 뇌는 예리해지고 운동만으로도 알츠하이머 발병률을 50% 낮출 수 있다고 했다.

- 어떻게 지내십니까?
“저는 잘 지내고 있습니다.
기억력은 여전히 조금씩 나빠지고 있지요.
주로 언어적 기억력이 떨어지는 게 문제에요.
사람 이름이나 지명이 잘 떠오르지 않습니다.
아무리 애써도 몇 년 전 아내 로이스와 함께 다녀온
스코틀랜드 북부의 한 중요한 도시 이름이 생각나지 않아요.
이웃 이름도 기억났다가 사라지곤 합니다.
흥미로운 건 그동안 키웠던 반려견들의 이름을
반려인의 이름보다 더 잘 기억한다는 점이에요.
방향 감각은 아직 괜찮습니다.
동네를 산책하면서 길을 잃은 적은 없어요.
운전은 이제 하지 않습니다.
여전히 책은 읽지만, 등장인물 수가 적은 책이 이해하고 따라가기에 훨씬 수월합니다.”
- 평생 수많은 치매 환자를 진료실에서 만나셨지요. 선생이 당사자가 될 거라고 생각한 적이 있나요?
“한 번도 생각해 본 적이 없습니다.”
- 겪어보니 어땠습니까?
‘이 병에 완전히 매료되었다’라는 표현이 놀라웠어요.
호랑이와 함께 링에 올라간 기분이라니요!
“제가 이 병에 대처하기가 좀 더 수월했던 이유는
신경과 의사의 시각으로 이 병을 한발 물러서서 바라볼 수 있었기 때문입니다.
2015년에 찍었던 첫 *PET 스캔이 특히 흥미로웠는데,
뇌 전체에 아밀로이드가 쌓여 있었고
그 중에서도 후각 영역 여러 곳에서 두드러지게 나타났습니다.
그걸 보면서 ‘정말 멋지다’라고 말했던 기억이 납니다.
병리학적 소견과 신경해부학이 맞아떨어지는 광경에 우리 모두가 무척 흥분했었죠.”
그는 운 좋게도 일찍 병의 징후를 발견했기에,
생활의 안팎에서 이 병을 어르고 통제할 수 있는 다양한 방법을 알게 되었다고 했다.
최초의 신호는 후각이었다.
- 후각을 잃어버린 그날의 일이 기억납니까?
“2006년 여름의 어느 날이었어요.
장미 옆을 지나는데 향기가 나지 않았어요.
빵 굽는 냄새와 향수 냄새가 뒤섞인 후각적 환각 증세가 나타나기도 했습니다.
주치의에게 후각 문제를 언급했지만,
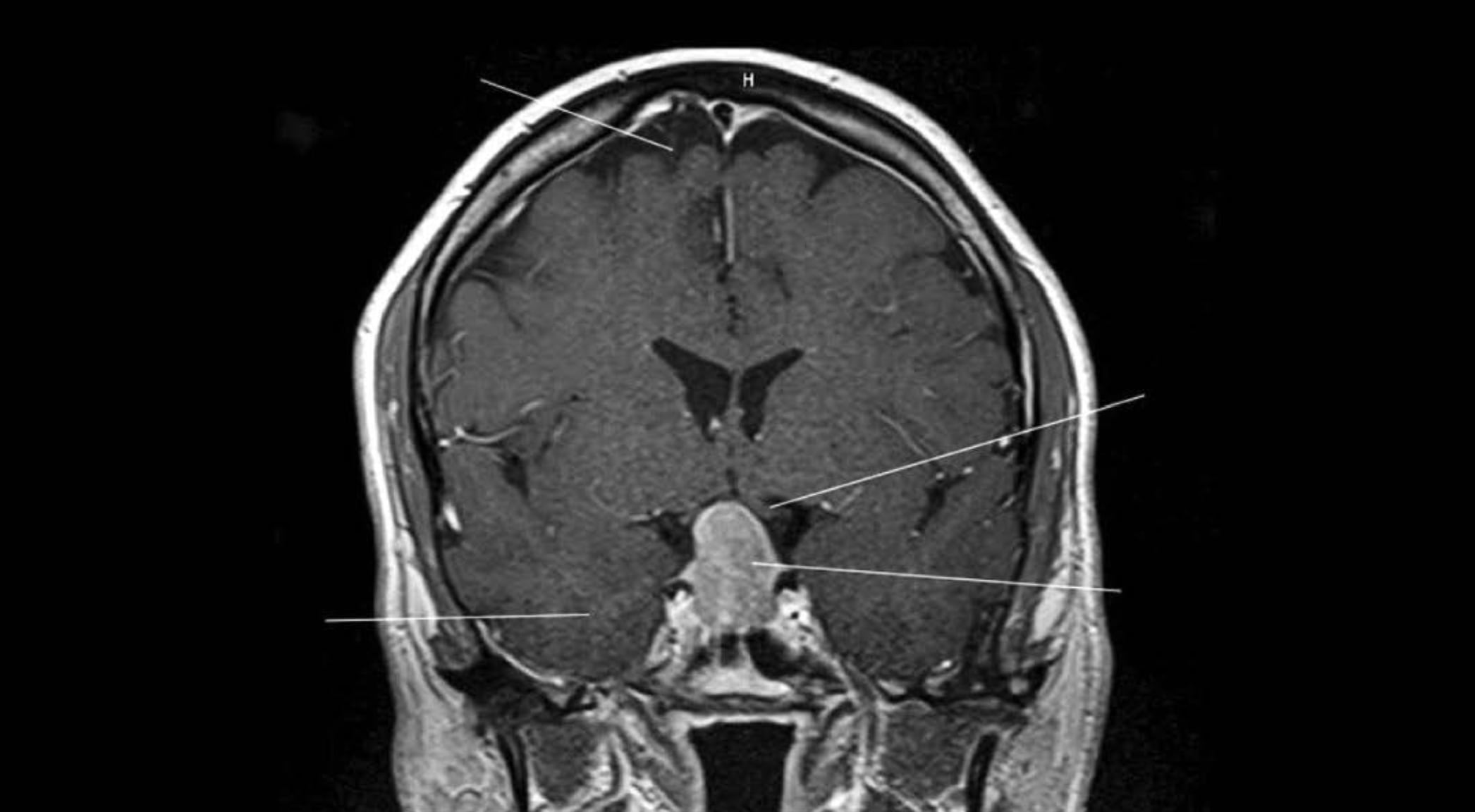
사실 *MRI에서 뭔가 나타날 거라는 예상은 못 했어요.
처음에 저의 뇌 스캔 파일을 혼자 열어보고 충격을 받았습니다.
탁구공 크기만 한 종양 덩어리가 보였으니까요.
내 뇌에 암이 생기다니,
완전히 망했군… 솔직히 곧 죽을 거라고 생각했습니다.
다행히 양성이었고 성가신 수술 정도로 제거할 수 있었어요.
뇌하수체 종양을 제거한 뒤로도 후각은 나빠졌고 몇 년 뒤에는 후각이 완전히 사라졌어요.”

==========================================================================================
뇌하수체 : 뇌 아래쪽에 위치한 콩알만하게 작은 내분비기관으로, 흔히 '내분비계의 지휘자’라고 불림.
종양 : 정상적인 조절을 벗어난 세포가 과도하게 증식하여 생긴 덩어리를 말함.
MRI : 자기공명영상_Magnetic Resonance Imaging의 약자로,
강한 자기장과 전파를 이용해 인체 내부를 자세히 촬영하여 검사를 하는 시스템을 말함.
[참고] Resonance_공명의 뜻은 어떤 시스템이 특정 주파수에서 외부의 힘에 의해 크게 진동하는 현상을 말함.
파킨슨병 : 뇌의 특정 부위(흑질, substantia nigra)에서 도파민을 만드는 신경세포가 점점 소실되면서
발생하는 만성 진행성 신경퇴행성 질환임.
[참고] 도파민이 부족했을 때 나타나는 질환 : 손,팔등의 떨림, 근육경직, 운동 느려짐(서동증), 자세불안정.
PET scan : 전자 방출 단층촬영_Positron Emission Tomography의 약자로서,
몸속 장기나 조직의 ‘기능·대사 활동’을 영상으로 보는 검사 시스템을 말함,
주로 세포가 얼마나 활발하게 활동하는지(기능)를 체크해서 암세포가 정상 세포보다 당을 많이 소비 하는
활동성을 인지해서 암, 전이, 재발여부를 확인하는데 이 시스템을 이용함. SinEun
==========================================================================================
- 후각 부진이 알츠하이머의 확실한 전조인가요?
“맞습니다.
보통 인지 기능 저하 증상이 시작되기 몇 년 전부터 진행됩니다.
하지만 사람들은 보통 검사를 받아보기 전까지 후각 손실을 인식하지 못합니다.
알츠하이머병뿐만 아니라 *파킨슨병 환자의 약 80%도 후각 저하가 나타나며,
역시 몇 년 전에 증상이 발생합니다.”
- 그일 이후 문제가 있을지도 모른다는 생각에 가계도를 파게 된 거죠?
책에서 그 부분을 읽고 저 또한 잃어버린 조각을 찾아보고 싶다는 생각이 들더군요.
“아내 로이스는 무엇이든 계보를 파헤쳐보는 취미가 있습니다.
2012년, 우리는 침을 묻힌 면봉을 보내 DNA 분석을 맡겼고,
그때 내가 알츠하이머병의 유전적 위험 인자인 APOE-4 대립유전자를
두 개 갖고 있다는 사실을 우연히 발견했습니다.
당시에는 인지 장애 증상이 없었지만 80세가 되면
알츠하이머병으로 인한 치매 발병 위험이 거의 100%에 달한다는 사실을 알게 된 거죠.
부모님 두 분 모두 암으로 일찍 돌아가셨기 때문에
알츠하이머병은 제게 전혀 예상치 못한 일이었습니다.
가족력을 확인해 보니, 외할머니와 친할머니, 외숙모, 외삼촌 몇 분도
알츠하이머병으로 사망한 것이 거의 확실했습니다.”
가족의 이야기와 자료를 훑을수록 더 많은 실마리와 패턴이 읽혔다고 했다.
그의 외할머니는 돌아가실 무렵 잠옷을 입고 동네를 헤매고 돌아다녔다.
할아버지는 생애 마지막 몇 년에 기이한 행동을 보였다.
그 시절에 우리는 이런 증세를 치매가 아닌 노망이라고 불렀다.
그의 친할머니는 여든한 살에 뇌졸중으로 돌아가셨다.
여러 조각과 점을 연결해 나가자, 치매의 계보도가 맹수의 윤곽처럼 불길한 모습을 드러냈다.
- 오랫동안 의사로서 진료실에서 본 치매 환자들은 어땠습니까?
“알츠하이머병 진단에 대한 반응은 다양합니다.
제가 처음 환자를 진료하기 시작했던 1980년대에는 현실 부정이 가장 흔한 반응이었습니다.
당시에는 의사들도 환자에게 해줄 수 있는 게 거의 없었고
그저 환자를 격려하는 게 최선이었으니까요.
하지만 지금은 훨씬 더 많은 것을 할 수 있습니다.
뇌의 변화, 곧 아밀로이드 플라크와 신경섬유 엉킴은
알츠하이머 치매 증상이 나타나기 최대 20년 전부터 형성되기 시작한다는 것이 밝혀졌습니다.
이제는 알츠하이머병 환자에게 도움이 되는 약물이 있고,
초기 단계에 복용하면 효과도 매우 큽니다.”

- 환자들의 가장 큰 두려움은 무엇이었나요?
“독립성을 잃을 것에 대만 두려움이 압도적입니다.
대부분 홀로 분투하게 되더라도 진심으로 가족에게 부담이 되지 않기를 바라더군요.”
- 가족 이야기를 해보지요.
선생의 자녀들은 아버지의 병세에 어떻게 반응하고 대처하나요?
“우리 아이들은 모두 잘 지내고 있습니다.
아이들은 나이가 들면 알츠하이머병에 걸릴 확률이 높아진다는 사실을 알고 있습니다.
제가 APOE-4 대립유전자를 두 개 갖고 있기 때문에 아이들은 모두 적어도 한 개는 가지고 있습니다.
자녀들이 자신의 위험을 이해하고 있고,
발병 가능성을 줄이기 위해 무엇을 할 수 있는지 알고 있는 게 중요합니다.
더불어 저는 잠그지 않은 수도꼭지 같은 나쁜 소식보다,
아이들과 더 활동적인 삶에 관해 이야기하려고 노력합니다.”
- 문득 궁금합니다.
어떤 기억은 빨리 사라지고 어떤 기억은 오래 남습니까?
“저의 경우,
한 달 전에 읽은 책 내용은 기억 못 하지만 경력 초기에 만난 환자의 경험,
30년 동안 알츠하이머를 다뤄온 임상 경험과 기억은 예전 그대로입니다.
단어가 혀끝에서 가물거리는 일이 많지만,
로이스와 아이들과 함께한 인생,
유년기의 경험을 글로 쓰려면 문장이 끝도 없이 흘러나오지요.
대개는 사건을 떠올리는 서술 기억 문제는 알츠하이머 초기에 나타나지만,
자전거나 피아노 치는 법을 수행하는 절차 기억은 대체로 후기까지 잘 기능해요.
서술 기억은 측두엽과 대뇌 피질에 있고,
절차 기억은 더 깊은 기저핵과 소뇌에 저장돼 있기 때문입니다.
때로는 가족도 몰라보는 사람이 복잡한 피아노곡을 연주해서 주변을 놀라게 하죠.”

- 프루스트의 마들렌 냄새를 맡으며 좋았던 시절을 떠올리는 것을 예로 들며,
나의 마들렌은 음악인 것 같다고 하셨어요.
동감합니다.
저 또한 음악을 들을 땐 뇌가 반쯤 열리는 것 같습니다.
“음악은 정말 놀랍습니다.
비틀스의 ‘미셸’은 라디오를 들으며 짝사랑에 한숨짓던 10대 시절의 침실로 데려다줍니다.
머릿속에 항상 노래가 들어있어서 노래와 기억이 함께 달려 나와요.
보통 1960년대 노래입니다.
가수나 노래 제목을 항상 기억하는 건 아니지만, 가사는 기억할 수 있습니다.
왜 음악이 제 뇌 속에 그렇게 단단히 자리 잡고 있는지 궁금했습니다.
다른 연구자들도 이 부분을 연구했는데,
아마도 음악과 관련된 신경망의 중복성 때문인 듯해요.
알츠하이머병을 앓은 프리마돈나가 기억을 잃은 뒤에도
차이콥스키의 음악을 듣고 춤 동작을 시연하는 영상을 본 적이 있습니다.”
박사는 더불어 시간의 힘을 견뎌낼 만큼 의미가 있는 기억만이 살아남는다고 했다.
시간의 힘을 거스르는 방법은 두 가지다.
반복과 의미 부여.

- 뇌 영상 소견상으로는 상태가 더 나빠야 정상이지만,
선생은 책을 쓰고 인터뷰를 진행할 만큼 지적 기능이 오래 유지되고 있습니다.
이런 경우가 많은가요?
“통계를 보면 PET 스캔에서 아밀로이드가 보이지만 인지는 정상인 노인들이 20%나 됩니다.
저축해놓은 뇌세포 용량이 커서예요.
인지예비능 덕분이죠.
*인지예비능은 뇌가 포위 공격을 당해도
인지 기능을 높게 유지하도록 돕는 뇌의 예비적 신경망입니다.
일종의 예비 발전기 역할을 해서 정신적 삶을 보존해 줍니다.”
- 인지예비능의 비축 정도를 스스로 알 수 있나요?
“정확한 계측은 불가합니다.
십자말풀이나 독서로 인지예비능이 증가했다는 데이터도 확인할 길이 없어요.
하지만 저는 느낄 수 있습니다.
성장기 때 부모님이 북돋워 준 호기심, 창의력, 비판적 사고도 도움이 됐어요.
공학자였던 아버지는 장난감을 사줄 때까지 기다리지 말고 직접 만들어보라고 격려했고,
음악을 사랑했던 어머니는 어린 저에게도 음악을 만들어보라고 권유했습니다.
제가 알츠하이머 와중에도 책 읽기를 이어갈 수 있었던 것은
순전히 사서 출신인 아내 로이스 덕입니다.
저는 요양 시설에서 지내는 친구 R과도 몇 달에 한 번 만나 점심을 함께하고
각자의 가족, 개, 신경학에 관한 이야기를 나눠요.
다방면으로 저의 인지예비능을 채우고 있습니다.”
===================================================================================
인지예비능 : 주로 인지과학, 신경과학, 노인학, 정신건강 분야에서 사용.
한마디로 설명하면 뇌가 손상이나 질병, 노화 등으로 인한 인지 기능 저하에 맞서
스스로 유지하고 적응할 수 있는 능력을 뜻함.
영어로는 보통 Cognitive Reserve라고 함.
SinEun
===================================================================================
- 임상 시험에도 적극적으로 참여하고 계십니다.
의미 있는 경험이었습니까?
“지금까지 여덟 번의 임상 시험에 참여했어요.
2017년 9월 말, 임상시험 약물을 투입받았을 때는 큰 부작용도 겪었습니다.
자고 일어났더니 단순한 단어조차 읽을 수 없더군요.
문자 메시지도 뒤엉켰고, 수표장 정산도 할 수 없었어요.
빨리 감기로 알츠하이머 후기로 가서 체험해 보는 느낌이었습니다.
다행히 고혈압약과 스테로이드를 주입받자 다시 글을 읽을 수 있었지요.
그 후 평소처럼 한 달에 6~8권의 책을 읽었고,
기억력이 1년 전 아니 2년 전보다 더 좋아졌다는 느낌마저 들었어요.
이런 임상 시험으로 저는 제가 할 수 있는 기여를 합니다.
병을 멈출 방법은 잘 설계된 임상 시험 밖에는 없으니까요.”
그(깁스 박사)는 알츠하이머라는 질병을 자신의 일로 확장했다.
새로운 치료법 연구에 임상참여자로 들어가기 위해,
스스로 인지 손상의 징후를 기록하고 증거를 모았다.
‘잊지 말고 기록을 남겨야 한다는 걸 기억하라’고 메모했다.
병이 깊어질 때 사람들은 실수를 의식하지 못하지만,
그는 고통스러울 정도로 자신의 실수를 의식했다고 말했다.

- 인지 저하를 늦추기 위해 평소에 어떤 노력을 하시나요?
“하루에 1만 보 걷기를 목표로 하고 걷습니다.
하루 3,000보 정도만 걸어도 큰 도움이 됩니다.
일례로 저의 인지 평가 점수는 평균적으로 유산소 운동 후에 8퍼센트 높아집니다.
57분 동안 산 정상까지 등반했을 때는 15퍼센트나 높아졌어요.
규칙적인 유산소 운동은 뇌에 정말 좋습니다.
운동은 단기적으로도 효과가 큰데 아마 심박출량(cardiac output)이 늘어나기 때문인 듯 해요.
요즘도 저는 글을 쓰기 전에 빠르게 걷습니다.”
- 환자가 된 이후 시간의 의미와 감각은 어떻게 달라졌지요?
“시간이 훨씬 빨리 흐르는 것처럼 느껴지지만,
인지 쇠퇴 속도는 급격하지 않아서,
종종 미래의 재앙에 다가가고 있다는 사실조차 잊고 있는 상황이랍니다.
제 개인적으로는 알츠하이머 환자가
미래에 대한 생각에 너무 매몰되는 건 좋지않다고 생각합니다.
무엇보다 지금은 사람들을 도와 의미 있는 시간을 완성하고 싶습니다.
허비할 시간이 없어요.”
박사는 임상을 통해 부정확한 타임라인을 유리한 쪽으로 돌리는 법을 찾을 때마다 뛸 듯이 기쁘다고 했다.
- 그럼에도 진단부터 사망까지 걸리는 시간이 10년이라는 사실은 충격입니다.
당신의 친구이자 뇌과학자인 리사 제노바가 테드 강연에서
‘우리의 미래는 치매 환자 혹은 그를 돌보는 간병인’이라고 선언했을 때,
가슴이 철렁했어요.
궁극적으로 상황이 이런데 어떻게 낙관적인 출구를 찾지요?
“저는 알츠하이머병을 예방 심지어 치료할 수 있게 될 거라고 낙관합니다.
내가 살아있을 때 실현되진 않더라도 우리 자식 세대에는 확실히 가능할 거예요.
몇몇 약물은 언젠가 효능이 증명될 것입니다.
무엇보다 매일 먹는 음식, 행동 등 특정 생활 방식의 변화가
알츠하이머병의 진행 속도를 늦출 수 있다는 강력한 증거가 나오고 있어요.
책에도 썼지만,
알츠하이머병의 진행을 최대 50%까지 늦출 수 있는 중요한 생활습관으로는
***********************************************************************************
1 규칙적인 유산소 운동
2 지중해식 식단
3 지적으로 활발히 활동하기
4 사회적으로 즐겁게 교류하기
(이건 제게 꽤 어렵습니다. 여러 사람이 동시에 말하는 모임에 있는 걸 좋아하지 않거든요)
5 매일 밤 최소 7시간 반 이상 수면하기
***********************************************************************************
등이 있습니다.
더불어 고혈압, 고지혈증, 비만, 흡연, 당뇨 같은 심혈관 위험 요인을 조절하는 것도 중요합니다.
저의 개인적인 목표는
병이 진행을 최대한 늦춰서 알츠하이머 말기에 이르기 전에
다른 원인으로 삶을 마무리하는 것입니다.”

- 선생의 저널리스트 친구 그레그 오브라이언은 여전히 잘 지내나요?
“그럼요.
그레그는 중증 알츠하이머의 경험담을 담은 저서 ‘명왕성에서’를 펴냈죠.
젖은 옷을 입고 약속 장소에 나타날 정도로 상태는 계속 나빠지지만,
여전히 다른 사람을 돕기 위해 글을 쓰며 질환과 잘 싸우고 있습니다.
리사 제노바와 그레그 오브라이언 모두 제 책에 멋진 추천사를 써줬어요.”
세상에는 치매를 앓는 뇌과학자들이 의외로 많은 것 같았다.
대니얼 깁스는 정신의학회에 각자의 임상을 공유하는 의사들과의 우정어린 멋진 협업에 고무된다고 했다.
이 책을 바탕으로 제작된 동명의 다큐멘터리 ‘치매에 걸린 뇌과학자’는
신경학 관련 영화제인 로체스터 영화제 (https://reelmindfilmfest.com)에 출품되기도 했다.
이야기를 나눌수록
그의 인생에서 알츠하이머라는 복병이 예기치 않은 새 길을 열어주고 있다는 생각이 들었다.
커리어 측면에서 인지가 정상이었고 축적된 신경학 지식도 탄탄했지만,
그는 그토록 사랑하는 의사 직업을 예순두 살에 그만두어야 했다.
일흔 살에 이르면 알츠하이머 환자가 될 확률이 높았기 때문이다.
하지만 그것 또한 나쁘지 않은 듯 했다.

- 은퇴 후 보낸 첫해의 기억을 나눠주시겠어요?
“2013년 그해 여름,
엔진이 고장 난 배 위에서 1시간 반을 보낸 기억이 있어요.
바람도 한 점 없어서 늘어진 돛을 펼친 채 바다 위를 떠다녔지요.
그러다 100미터 거리에서 범고래 무리를 만났어요.
어느 찰나에 갑자기 눈부시게 솟아오르더군요.
20년 가까이 항해를 하며 알게 된 게 있습니다.
범고래를 보게 되는 때는 범고래를 찾으려고 애쓸 때가 아니라 거의 기대하지 않을 때라는 것을.
그냥 우연히 마주치게 되는 거죠.
계획대로 엔진이 멀쩡하게 작동됐다면 못 봤을 거예요.
은퇴 후 첫해를 입력하면,
바다 위에서 오도 가도 못한 채 목적 없이 표류하던 그날의 일이 떠올라요.
범고래의 선물, 시간의 선물이요.”
항해의 즐거움이란 계획한 장소에 도착했기 때문이 아니라,
그냥 그 순간 자기가 그곳에 있다는 데서 비롯된다는 답이 큰 울림으로 다가왔다.
- 여전히 뇌가 아름답다고 느끼나요?
“뇌 자체가 아름답다고 확언할 수 있는지는 모르겠습니다.
다만 연구하기 흥미로운 대상인 것은 분명하지요.”
- 두려운 것은 무엇입니까?
“대체로 통제력 상실에 관한 것이죠.
하지만 나는 이 병의 후기의 어두운 측면에 대해서 깊이 생각하지 않습니다.
로이스와 나는 일종의 협약을 맺었어요.
바로 현재를 살자는 것입니다.
예상되는 문제에 대해 필요한 조치를 하고 진행을 늦추기 위해 할 수 있는 모든 일을 하면서요.”

- 여전히 새로운 배움이 있는지요?
“나의 개 잭에게서 소중한 순간을 포착하는 법을 배웠습니다.
내가 부엌일을 할 때마다 잭이 은근슬쩍 당근이나 치즈, 닭고기 한 조각이라도 떨어질까 기대하며
신경을 집중하는 모습은 경이롭습니다.
그 작은 조각은 내게 2주만 지나도 잘 기억 못하는 책 한 권일 수도 있지요.”
- 누구에게 가장 감사합니까?
“52년의 결혼 생활과 알츠하이머병으로 인한 경도인지장애(MCI) 진단을 받았던 때부터
지난 10년 동안 제 든든한 버팀목이었던 사람. 아내에게 감사합니다.”
- 마지막으로 ‘치매에 걸린 뇌과학자’를 통해 선생이 꼭 말하고 싶은 것은 무엇이었습니까?
“알츠하이머병은 느리게 진행되는 질환입니다.
베타 아밀로이드 플라크는 20년 전에 처음 관찰되지요.
워싱턴 포스트에 실린 제 과학 논문에도 있어요.
생활 습관 개선과 새로운 항아밀로이드 약물을 포함한 모든 개입은 질병 초기에 가장 효과적입니다.
고소득 국가의 치매 환자 대부분도 마지막 단계에 이르러서야 병원에 옵니다.
그 점이 가장 안타까워요.
가능하면 40대에 모든 탐색을 시작하세요.
뇌는 운동하지 않을 때보다 운동할 때 더 예리해져요.
사라지든 남아있든, 기억은 이 세계에 우리가 어떻게 속해있는지에 대한 감각입니다.
알츠하이머병을 더 일찍 진단해서 시간을 벌어야 하는 이유지요.”
Copyright © 조선비즈. 무단전재 및 재배포 금지.
https://v.daum.net/v/20251004060309713
이 포스팅 글은 위에 표시한 링크에서 옮겨온 글이며, 제목을 바꾸었고,
가독성을 위해 위 링크글 원문을 약간 편집 수정(오자,탈자,삭제 및 약간의 첨언)과
보조 설명을 추가했으며, 글꼴색을 자의적으로 달리 표현했음을 밝힙니다.
사진은 적절한 리터칭 작업을 했습니다.
문장은 가독성과 문맥의 의미를 용이하게 하려고 분절 줄바꿈 처리 했음을 또한 밝힙니다. SinEun
'JABDONGSANI' 카테고리의 다른 글
| 아 ! 그대 김영랑 '독을 차고 ' (18) | 2026.01.20 |
|---|---|
| 눈 내리는 마을에 드리워진 죽음의 그림자 (4) | 2025.12.22 |
| 불륜속 사랑에서 불멸의 작품이 (9) | 2025.12.03 |
| 마르디히말_마차푸차레 트레킹 등정記 (2) | 2025.11.21 |
| 여체의 아름다움에 영혼을 바치다, 부그로 (6) | 2025.11.06 |